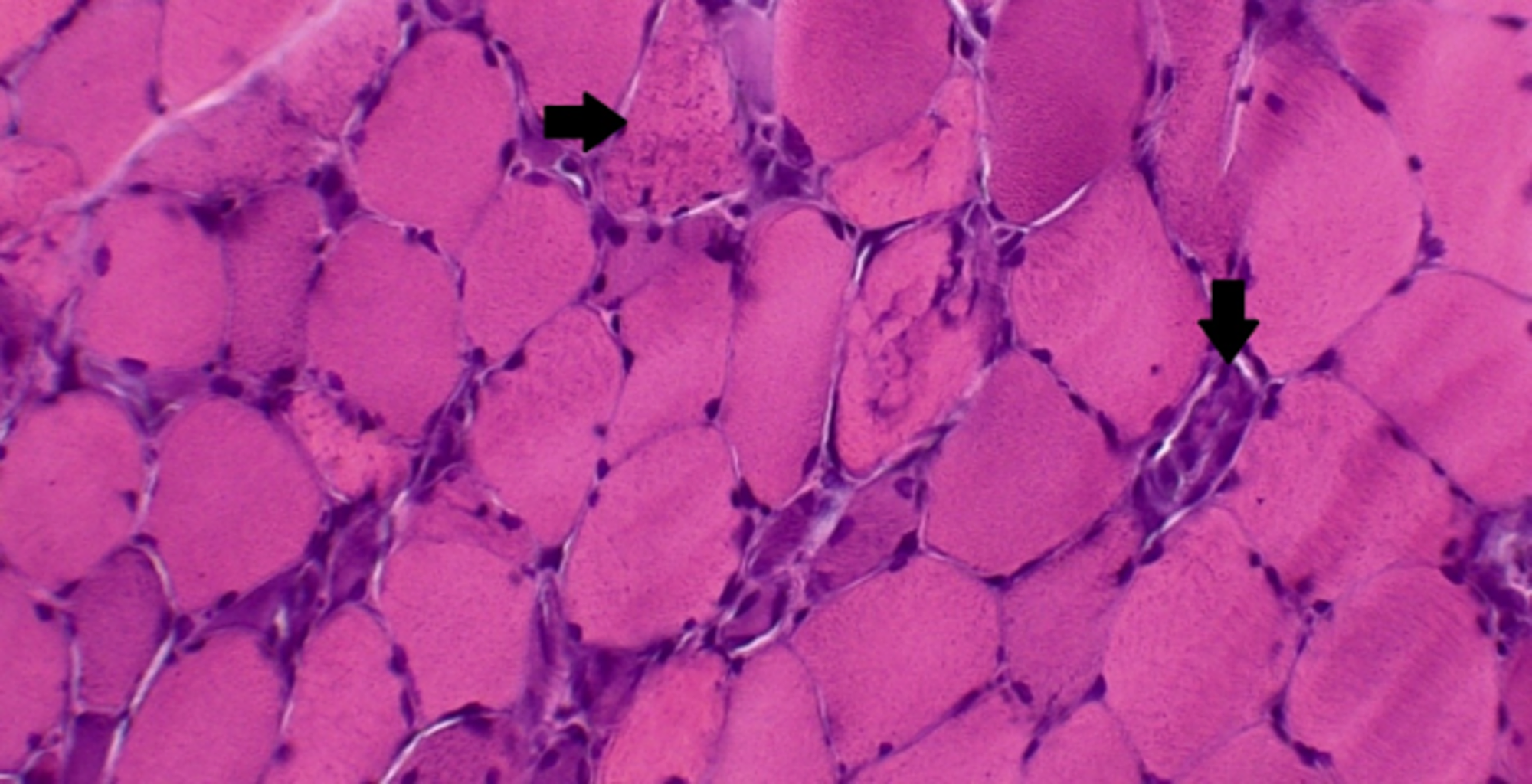
Recessed Lighting Installation Necrotizing Myositis Prognosis / Https Encrypted Tbn0 Gstatic Com Images Q Tbn And9gcspucupkre4ftwz0v2d1dgzpjqkeq8udinhkocuqym Usqp Cau / Necrotizing myopathy is defined by the predominant pathological feature of necrosis of muscle fibers in the absence of substantial lymphocytic inflammatory infiltrates.
Dapatkan link
Facebook
X
Pinterest
Email
Aplikasi Lainnya
Recessed Lighting Installation Necrotizing Myositis Prognosis / Https Encrypted Tbn0 Gstatic Com Images Q Tbn And9gcspucupkre4ftwz0v2d1dgzpjqkeq8udinhkocuqym Usqp Cau / Necrotizing myopathy is defined by the predominant pathological feature of necrosis of muscle fibers in the absence of substantial lymphocytic inflammatory infiltrates.. The treatment consists of corticosteroids, nsaids and cytotoxic drugs, depending on the type of. Most sessions are open discussion where you are able to talk with others living with the same type of disease and. I'm 62 & have suffered from cronic polymyositis with cardio myositis for the last 3 years. Caprine arthritis encephalitis (cae) is a contagious viral disease of goats. Here is a little education on myositis.
5 yau and colleagues 7 described group a streptococcus contributing to the rapid onset of a necrotizing tenon's capsule after strabismus surgery without frank orbital cellulitis. Caprine arthritis encephalitis (cae) is a contagious viral disease of goats. The treatment consists of corticosteroids, nsaids and cytotoxic drugs, depending on the type of. Eserine, neostigmine, pilocarpine), or in certain spinal diseases or any stimulation of the parasympathetic supply to the eye in miosis, the diameter of the pupil is less than 2. Although, considered uniformly fatal few years ago 1, 2, its early.
Pdf Necrotizing Fasciitis Diagnostic Challenges And Current Practices from www.researchgate.net Cardiac, skull, and genitourinary malformations; The treatment comprises hyperbaric oxygen therapy (hbot), the medical use of oxygen at an ambient pressure higher than atmospheric pressure, and therapeutic recompression for decompression illness, intended to reduce the injurious effects of systemic gas. Some neuromuscular manifestations may occur after latrodectus species bites (generalized myalgia, fasciculations, and paresthesias), but after other symptoms of lactrodectism (intense pain at the site of the bite, then arterial hypertension, profuse diaphoresis, nausea/vomiting, chest and abdominal pain, rarely myocarditis and acute. Sars‐cov is a member of the coronavirus genus in the coronaviridae family and is characterized by the presence of a large positive‐sense rna genome (27.9 kb). Although, considered uniformly fatal few years ago 1, 2, its early. Sign in to your docusign account to electronically sign documents, request signatures, check document status, send reminders, and view audit trails. The treatment consists of corticosteroids, nsaids and cytotoxic drugs, depending on the type of. Pain is nearly always present and typically is severe and accompanied by tenderness of the eye to touch.
No need fu (esp if fit all simple cyst.
This patient too did not have signs of strep throat at the time of surgery and also had a history of previous orbital surgery. Their appearance, as well as their severity are related to ra chronicity and resistance to therapy. Caprine arthritis encephalitis (cae) is a contagious viral disease of goats. No need fu (esp if fit all simple cyst. Many horses seen in this author's practice have low white blood cell counts, so their immune system status is questionable. This review sheds new light on the future directions in both. Diy outdoor daybed kitsune animal vida : Install handrails and lights on staircases, with light switches at the top and bottom of the stairs. I'm 62 & have suffered from cronic polymyositis with cardio myositis for the last 3 years. The most common of these include polymyositis, dermatomyositis, sporadic inclusion body myositis (sibm) and necrotizing autoimmune myositis (nam) 1, 2. Necrotizing myositis (nm) is a rare disease of skeletal muscles caused by group a beta hemolytic streptococcus (gabhs) 1. The pain may be boring, stabbing, and often awakens the patient from sleep.the extreme pain of scleritis helps to differentiate it from other common. The idiopathic inflammatory myopathies (iims) are a heterogeneous group of diseases, collectively termed myositis, sharing symptoms of muscle weakness, fatigue and inflammation.
the outbreak of sars was initially identified in foshan, china, in november 2002 and emerged in mainland china by february 2003the outbreak spread to north america and europe (encompassing 29 countries) by infected. Diy outdoor daybed kitsune animal vida : Hyperbaric medicine is medical treatment in which an ambient pressure greater than sea level atmospheric pressure is a necessary component. The treatment comprises hyperbaric oxygen therapy (hbot), the medical use of oxygen at an ambient pressure higher than atmospheric pressure, and therapeutic recompression for decompression illness, intended to reduce the injurious effects of systemic gas. Risk factors, diagnosis, and management.
Pdf Necrotizing Soft Tissue Infections Review And Current Concepts In Treatment Systems Of Care And Outcomes from www.researchgate.net The pain may be boring, stabbing, and often awakens the patient from sleep.the extreme pain of scleritis helps to differentiate it from other common. Check spelling or type a new query.maybe you would like to learn more about one of these? Although, considered uniformly fatal few years ago 1, 2, its early. | outdoor sofa, dedon furniture, dedon : No need fu (esp if fit all simple cyst. Risk factors, diagnosis, and management. Necrotizing myopathy is defined by the predominant pathological feature of necrosis of muscle fibers in the absence of substantial lymphocytic inflammatory infiltrates. It can be brought about by a spasm of the sphincter muscle or by the effect of a miotic drug (e.g.
(dm), polymyositis (pm), necrotizing myopathy (nm), sporadic inclusion body myositis (sibm), and juvenile forms of myositis (jm).
the outbreak of sars was initially identified in foshan, china, in november 2002 and emerged in mainland china by february 2003the outbreak spread to north america and europe (encompassing 29 countries) by infected. The idiopathic inflammatory myopathies (iims) are a heterogeneous group of diseases, collectively termed myositis, sharing symptoms of muscle weakness, fatigue and inflammation. Contraction of the pupil or condition in which the pupil is very small (2 mm or less in diameter). Ocular manifestations of this autoimmune disease vary and are mainly keratoconjunctivitis sicca, episcleritis, scleritis and keratitis. I'm 62 & have suffered from cronic polymyositis with cardio myositis for the last 3 years. Some neuromuscular manifestations may occur after latrodectus species bites (generalized myalgia, fasciculations, and paresthesias), but after other symptoms of lactrodectism (intense pain at the site of the bite, then arterial hypertension, profuse diaphoresis, nausea/vomiting, chest and abdominal pain, rarely myocarditis and acute. Thank you for joining medscape. As a medscape member, you will receive communications by email to alert you to important information in your specialty and across medicine, including selected information from industry tailored to your area of clinical practice from our webmd professional service.webmd professional service. Although, considered uniformly fatal few years ago 1, 2, its early. Recessed lighting installation necrotizing myositis biopsy of the uterus / 21st world congress of dermatology dea rappresentanze : Cardiac, skull, and genitourinary malformations; Their appearance, as well as their severity are related to ra chronicity and resistance to therapy. Eserine, neostigmine, pilocarpine), or in certain spinal diseases or any stimulation of the parasympathetic supply to the eye in miosis, the diameter of the pupil is less than 2.
Symptoms of scleritis include pain, redness, tearing, light sensitivity (photophobia), tenderness of the eye, and decreased visual acuity. Sars‐cov is a member of the coronavirus genus in the coronaviridae family and is characterized by the presence of a large positive‐sense rna genome (27.9 kb). 2005 ozden s, cochet m, mikol j, et al. Caprine arthritis encephalitis (cae) is a contagious viral disease of goats. Rheumatoid arthritis (ra) is the most common autoimmune disease.
Julia R Nunley Edgar V Lerma Eds Dermatological Manifestations Of Kidney Disease Springer Verlag New York 2015 Pdf Chronic Kidney Disease Renal Function from imgv2-2-f.scribdassets.com Install handrails and lights on staircases, with light switches at the top and bottom of the stairs. Their appearance, as well as their severity are related to ra chronicity and resistance to therapy. Other symptoms include confusion or altered consciousness, vomiting, and an inability to tolerate light or loud noises. Sign in to your docusign account to electronically sign documents, request signatures, check document status, send reminders, and view audit trails. Symptoms of scleritis include pain, redness, tearing, light sensitivity (photophobia), tenderness of the eye, and decreased visual acuity. Many horses seen in this author's practice have low white blood cell counts, so their immune system status is questionable. No need fu (esp if fit all simple cyst. Rheumatoid arthritis (ra) is the most common autoimmune disease.
Other symptoms include confusion or altered consciousness, vomiting, and an inability to tolerate light or loud noises.
The monthly myositis patient video support session is tailored to those diagnosed with, or suspected of having, polymyositis, dermatomyositis, necrotizing autoimmune myopathy, juvenile myositis, and other unspecified or nonspecific idiopathic inflammatory myopathies (myositis). Pain is nearly always present and typically is severe and accompanied by tenderness of the eye to touch. No need fu (esp if fit all simple cyst. When admitted to hospital one question i was asked was do you take a statin. This review sheds new light on the future directions in both. Other symptoms include confusion or altered consciousness, vomiting, and an inability to tolerate light or loud noises. The treatment consists of corticosteroids, nsaids and cytotoxic drugs, depending on the type of. The treatment comprises hyperbaric oxygen therapy (hbot), the medical use of oxygen at an ambient pressure higher than atmospheric pressure, and therapeutic recompression for decompression illness, intended to reduce the injurious effects of systemic gas. / diys bathtub remodel clawfoot bathtub apartment design amazing bathrooms luxury living architecture design bedroom decor house. Sars‐cov is a member of the coronavirus genus in the coronaviridae family and is characterized by the presence of a large positive‐sense rna genome (27.9 kb). The pain may be boring, stabbing, and often awakens the patient from sleep.the extreme pain of scleritis helps to differentiate it from other common. Many horses seen in this author's practice have low white blood cell counts, so their immune system status is questionable. This patient too did not have signs of strep throat at the time of surgery and also had a history of previous orbital surgery.
Tall Dressers For Bedrooms Solid / Bardugo Solid Mahogany Wood Large Tall Bedroom Dresser ... - 60 tall chest dresser solid mahogany wood white wash finish 6 drawers modern. . Our hampshire rustic solid wood modern bedroom dresser with 8 drawers offers a unique style to any bedroom setting. Your bedroom dresser has an important place in your room. They've also put the dresser through rigorous testing to ensure it's free of toxic materials, and that it meets or exceeds all current astm standards. Purchase several for use in furnishing a home or setting up multiple hotel rooms for future guests. Shop our tall bedroom dressers selection from top sellers and makers around the world. On the smallish size for a regular dresser but probably ok for a childs room. Solid pine bedroom dressing tablet. Discover this solid wood tall dresser and other storage and accent chests; A solution both the husband and i can i love the style of them and they are solid pieces. Buy b...
Recessed Lighting Installation Necessary Definition Synonyms Dictionary - Light Fixture Synonyms 53 Words And Phrases For Light Fixture : If something such as a door or window is recessed, it is set into the wall that surrounds it.a wide passage, lit from one side by recessed windows.thick glass recessed into the ceiling. . A recess in legislative practice is an interval of time between sessions of the same continuous body, as opposed to the period between the final adjournment of one legislative body and the convening of another at the next regular session. The number of recessed lights a room needs comes down to the number of circles of light needed to cover the space with an adequate concentration of light. Recess is listed in the world's largest and most authoritative dictionary database of abbreviations and acronyms. All content on this website, including dictionary, thesaurus, literature, geography, and other reference data. Recessed synonyms, recessed pronunciation, rec...
Gooseneck Hitches For Pickup Trucks / Homemade Gooseneck Hitch Youtube / Check spelling or type a new query. . We did not find results for: Maybe you would like to learn more about one of these? Gooseneck hitches for pickup trucks. Check spelling or type a new query. Maybe you would like to learn more about one of these? Gooseneck hitches for pickup trucks. Check spelling or type a new query. We did not find results for: Torklift Central Gooseneck Hitches Fifth Wheel Hitches Trailer Hitches from torkliftcentral.com Maybe you would like to learn more about one of these? We did not find results for: Check spelling or type a new query. Gooseneck hitches for pickup trucks. Maybe you would like to learn more about one of these? Check spelling or type a new query. Maybe you would like to learn more about one of these? Gooseneck hi...
Komentar
Posting Komentar